Call 732-851-7005

    Request Consultation

    Services of Interest
    Skin RejuvenationBody ContouringInjectablesLaser Veins RemovalLaser Vascular TreatmentsLaser Hair RemovalHormone ReplacementHyperhidrosisMedical Weight LossTattoo Removal

    Preferred Date*

    Preferred Time*

      Call 732-851-7005

      Request to Subscribe

      Services of Interest
      Skin RejuvenationBody ContouringInjectablesLaser Hair RemovalHormone ReplacementHyperhidrosisMedical Weight Loss

      To cancel this click outside the window

        Cool Event Reservation


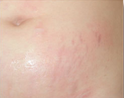
        Stretch Mark Reduction Gallery

        Patient 1

        Before
        <strong>Stretch Mark Reduction</strong>
        After
        <strong>Stretch Mark Reduction</strong>
        Stretch Mark Reduction

        Individual results may vary.

        Click here to contact Allure MD Spa & Wellness Center and set up a consultation.



        Patient 2

        Before
        <strong>Stretch Mark Reduction</strong>
        After
        <strong>Stretch Mark Reduction</strong>
        Stretch Mark Reduction

        After 3 Treatments

        Individual results may vary.

        Click here to contact Allure MD Spa & Wellness Center and set up a consultation.



        Patient 3

        Before
        <strong>Stretch Mark Reduction</strong>
        After
        <strong>Stretch Mark Reduction</strong>
        Stretch Mark Reduction

        Results from a course of Dermapen treatments

        Individual results may vary.

        Click here to contact Allure MD Spa & Wellness Center and set up a consultation.



        Patient 4

        Before
        <strong>Stretch Mark Reduction</strong>
        After
        <strong>Stretch Mark Reduction</strong>
        Before
        <strong>Stretch Mark Reduction</strong>
        After
        <strong>Stretch Mark Reduction</strong>
        Stretch Mark Reduction

        Individual results may vary.

        Click here to contact Allure MD Spa & Wellness Center and set up a consultation.



        Patient 5

        Before
        After
        Stretch Mark Reduction

        Individual results may vary.

        Click here to contact Allure MD Spa & Wellness Center and set up a consultation.



        Patient 6

        Before
        <strong>Stretch Mark Reduction</strong>
        After
        <strong>Stretch Mark Reduction</strong>
        Stretch Mark Reduction

        Individual results may vary.

        Click here to contact Allure MD Spa & Wellness Center and set up a consultation.



        Patient 7

        Before
        <strong>Stretch Mark Reduction</strong>
        After
        <strong>Stretch Mark Reduction</strong>
        Stretch Mark Reduction

        Individual results may vary.

        Click here to contact Allure MD Spa & Wellness Center and set up a consultation.

        Back to Photo gallery